han Zo Slovenska

Stále VÁHATE? Primár Kulkovský ukázal VAROVNÝ snímok pľúc neočkovaného pacienta

Už niekoľko dní evidujeme na Slovensku stovky nových pacientov s ochorením COVID-19. Plnia sa aj nemocničné lôžka. Aj preto primár považskobystrickej nemocnice Milan Kulkovský "zakročil".

Ilustračný obrázok k článku Stále VÁHATE? Primár Kulkovský ukázal VAROVNÝ snímok pľúc neočkovaného pacienta
Zdroj: Facebook.com/Milan Kulkovsky blog

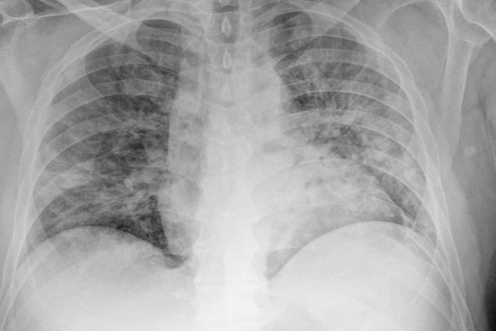
Situácia s koronavírusom začína pripomínať minulú zimu. „1 459 pozitívnych PCR testov. Toľko sme mali naposledy niekedy v marci. Dvojtisícovú hranicu prekročíme čoskoro,“ uviedol lekár Kulkovský na sociálnej sieti, kde zverejnil aj snímok pľúc jedného z neočkovaných pacientov.

Čísla rastú

Aj odborníci vidia najväčšiu ochranu pred covidom v očkovaní. Respektíve, vyhnúť sa ťažkému, až fatálnemu priebehu ochorenia. "Dvojtisícovú hranicu prekročíme čoskoro. Denné prírastky pozitívnych ale nie sú dôležité, zaujímať by nás mali nemocnice a miera obmedzenia starostlivosti o necovidových pacientov. Covid oddelenie u nás funguje len pár dní. Zloženie našich pacientov kopíruje celoslovenský trend. Za tých pár dní sme hospitalizovali 14 pacientov. Všetci s obojstranným zápalom pľúc. Stavy vyžadujúce oxygenoterapiu. Od štandardnej, nízkoprietokovej, cez neinvazívnu až po umelú pľúcnu ventiláciu, napísal na Facebooku Kulkovský.

Všetko nasvedčuje tomu, že tretia vlna koronavírusu na Slovensku už prepukla, či skôr naberá na sile. Okrem počtu nových nakazených sú znepokojujúce aj údaje o pacientoch v nemocniciach. Tie tiež narastajú.

„Zo 14 pacientov len dvaja plne očkovaní, 12 neočkovaných. Z nich jeden starší polymorbídny pán očkovaný druhou dávkou ešte v marci…“ dodáva lekár a pokračuje: „Druhý, starší ale bez závažných komorbidít, vystavený vysokej infekčnej dávke, vírusovej náloži, od neočkovaného príbuzného doma, kde sa nijako nechránil, keď sa o neho staral.“

Viac neočkovaných

Primár sa vyjadril aj k tomu, koľko pacientov má v sebe vakcíny. „K dnešnému dňu máme na covid oddelení 10 pacientov, z nich 9 neočkovaných. V porovnaní s druhou vlnou sú to mladšie ročníky. Poslední prijatí sú čerství päťdesiatnici s ťažkým obojstranným zápalom pľúc. Okamžite napojení na HFNO (High-flow nasal oxygen), predstupeň umelej pľúcnej ventilácie,“ opísal odborník a dodal aj snímok pľúc pacienta s covidom a neočkovaného.

„Nikoho už nebudem presviedčať, aby sa dal zaočkovať. Rozhodnutie je na vás. Ponúkam len fakty z praxe… a tie hovoria jasnou rečou…“ podotkol Kulkovský.

Snímok ako dôkaz

„Pacient štyri dni po pozitívnom teste, šesť dní od začiatku ťažkostí. V produktívnom veku, pracujúci. Dusiaci sa. Saturácia pri odvoze z domu pod 60 %. Obojstranný zápal pľúc. Nutnosť okamžitej neinvazívnej ventilácie HFNO. Neočkovaný…“ uvádza lekár v statuse na Facebooku.

Na záver si ešte povzdychol nad tým, čoho sme svedkami azda po celom Slovensku: „Všimol som si na viacerých oddeleniach, že takmer každá návšteva sa niesla v podobnom duchu – príbuzní aj pacienti mali zložené rúška pri rozhovoroch na chodbách aj na izbách!“


FOTO: ilustračné

Ďalšie aktuálne a zaujímavé správy z domova a zo sveta nájdete aj na našej stránke Dnes24 a Facebooku.

Ďalšie zaujímavosti, novinky a správy z regiónov klikajte na: Bratislava24, Trnava24, Nitra24, Trenčín24, Bystrica24, Košice24, Poprad24, Prešov24, Žiar24, Považská24, Rožňava24, Michalovce24, Žilina24.

Ďalšie aktuálne témy

Zdroj: Dnes24.sk
Najčítanejšie na Dnes24.sk
Magazín
Najčítanejšie zo Slovenska
SLEDUJTE NÁŠ INSTAGRAM